健診の胃カメラ、腹部エコー、便潜血などで要検査や経過観察といわれた方へ 2025年9月5日
健康診断の胃カメラ、腹部エコー、検便の検査で「異常なし」といわれる方はなかなか少ないと思います。
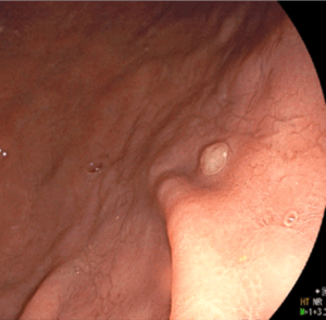
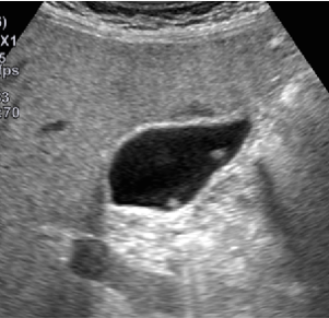
胃カメラであれば経過観察であっても、食道裂孔ヘルニアやバレット食道、胃ポリープと記載されていたり、腹部エコー検査であれば、肝血管腫やら胆嚢ポリープなどなど。
あまり聞いたことのない病名が記載されていることが多いと思います。
当クリニックのホームページでは、「消化器内科」や「当クリニックで行う検査」などの中に、健診でよく見かける病気について副院長が画像とともに分かりやすく説明をしています。
やはり何か健診で異常を指摘されると不安だと思います。ぜひホームページを活用していただければと思います。より詳しい説明を希望される場合は当クリニックの予約をお願いいたします。
また健診で便潜血陽性といわれた方は、必ず受診していただいた方が安心です。ぜひ受診をご検討ください。



