胃がん
胃がんは胃の粘膜上皮から発生するがんです。
胃がんの原因のほとんどはヘリコバクターピロリ菌の感染が関連しているといわれており、日本人に多いがんのひとつです。胃がんの罹患数(発生する人)は全がんのうち第3位で
年間10万人以上に新しく胃がんと診断されています。
胃がんの診断には胃カメラ検査が必要です。胃カメラ検査でがんを疑う場所があった場合には、生検検査(細胞を採取し顕微鏡で詳細に調べる検査)を行い確定診断を行います。
胃がんは早期に発見すると完全に根治することができるがんです。
胃がんの予防にはピロリ菌に感染している方はピロリ菌の除菌治療が最も大切です。
早期発見のためには信頼のおける施設での胃カメラ検査が必須となります。例えピロリ菌を除菌したとしても胃がんが発生することがありますので、定期的(年に1回)に胃カメラ検査を行うことをお勧めします。
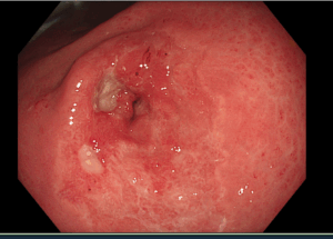
早期胃がん
内視鏡で切除が可能です。

進行胃がん
外科的手術が必要です。
