肝血管腫
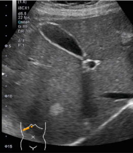
肝血管腫は健診を受けた人の約7%に見られ、女性にやや多い傾向があります。小さいものはエコーで境界がはっきりとした白いしこりとして観察されますが、大きくなると白さが淡くなることがあります。肝血管腫は血管が海綿状に合ったもので、皮膚でいうと「あざ」のようなものです。基本的には無症状で経過観察だけで大丈夫と考えられています。

しかし、エコーで白さが淡かったり、黒い部分が混在している場合は、一度造影CT検査をお勧めしています。造影CT検査では、しこりの周辺から染まっていき、時間がたつと全体が染まるという典型的な像がみられるので容易に診断できます。ごく稀に出血したり、早期がんで徐々に大きくなることがあるので、年に一度は腹部エコーで経過観察することをお勧めします。