しんどう内科・消化器内科クリニック

診療時間

月・水~金 9:00~12:00 14:30~18:00
火・土 9:00~12:00

休診日

日・祝・年末年始

055-287-9093

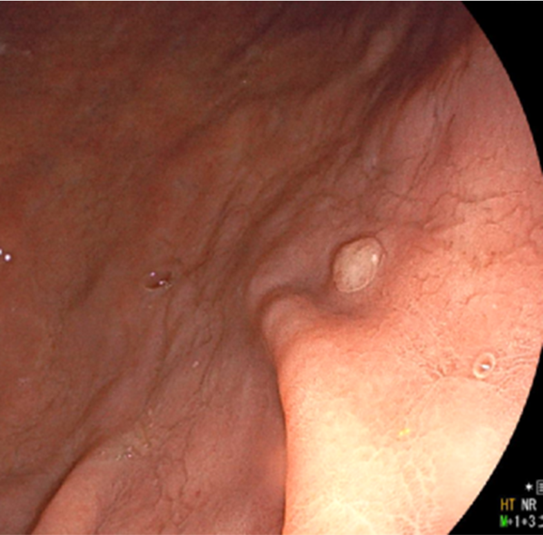
胃ポリープ

 

胃底腺ポリープ、過形成性ポリープがあります。胃底腺ポリープはピロリ菌が感染していない胃粘膜にみられます。過形成性ポリープはピロリ菌が感染した胃粘膜にみられます。

ともに良性ですので、放置していても心配いりませんが、似たようにみえる癌もあるため、疑う場合は上部消化管内視鏡(胃カメラ)検査時に生検をします。

また過形成性ポリープは稀に大きくなり出血することがありますので、原因であるピロリ菌を除菌する小さくなることがあります。

 

胃底腺ポリープ

胃底腺ポリープ

 

胃過形成性ポリープ

胃過形成性ポリープ

 

バリウム検査などで胃のポリープを初めて指摘された方は良性とはいえ一度胃カメラ検査をした方が安心です。ぜひご相談ください。

 

 

当クリニックで行う検査

消化器内科の病気・病態

食道の病気

胃の病気

大腸の病気

胆嚢の病気

膵臓の病気

肝臓の病気