膵のう胞
「膵のう胞(すいのうほう)」とは、膵臓(すいぞう)にできる袋状の病変のことを指します。最近では人間ドックや腹部エコー・CT・MRIなどで偶然発見されることが多くなってきました。
膵のう胞の多くは良性ですが、一部にがん化の可能性があるタイプもあるため、専門的な評価と定期的な経過観察が大切です。
*よくあるご相談
・「膵のう胞と言われたけど、放っておいていいのか不安」
・「がんにならないか心配」
・「どれくらいの頻度で検査すればいいの?」
・「どこの病院にかかればいいか分からない」
当院では、消化器内科の専門的知見をもとに、膵のう胞の評価とフォローアップ(経過観察)を行っています。
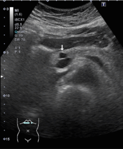
*膵のう胞の腹部エコー画像
膵臓の内部に黒いしこりとして観察されます。

*膵のう胞の種類
膵のう胞にはさまざまな種類がありますが、代表的なものは以下の通りです:
・IPMN(膵管内乳頭粘液性腫瘍)
がんになる可能性があり、定期的な画像診断が重要です
・MCN(粘液性のう胞腫瘍)
特に中高年の女性に多く、外科的切除の対象になることがあります
・漿液性のう胞腫瘍(SCN)
がん化のリスクがほとんどなく、経過観察で問題ないことが多いです
・仮性のう胞(膵炎のあとにできることがあります)
当院で行う診療内容
最新の腹部超音波装置による検査
腫瘍マーカーや血液検査によるスクリーニング
必要に応じて高次医療機関と連携し、精密検査(MRIや内視鏡的超音波EUSなど)をご案内
当院では安心して経過観察できるよう、定期的なフォロー体制を整えています
是非一度ご相談ください